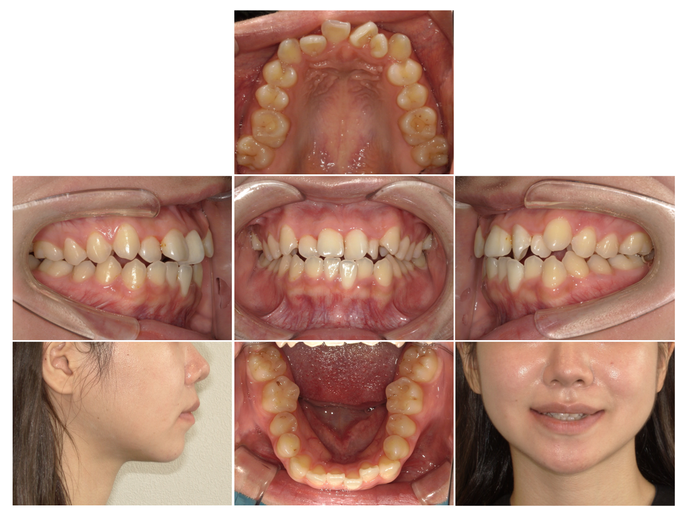
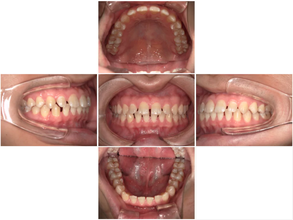
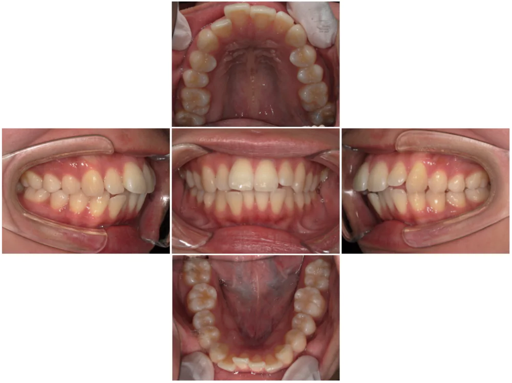
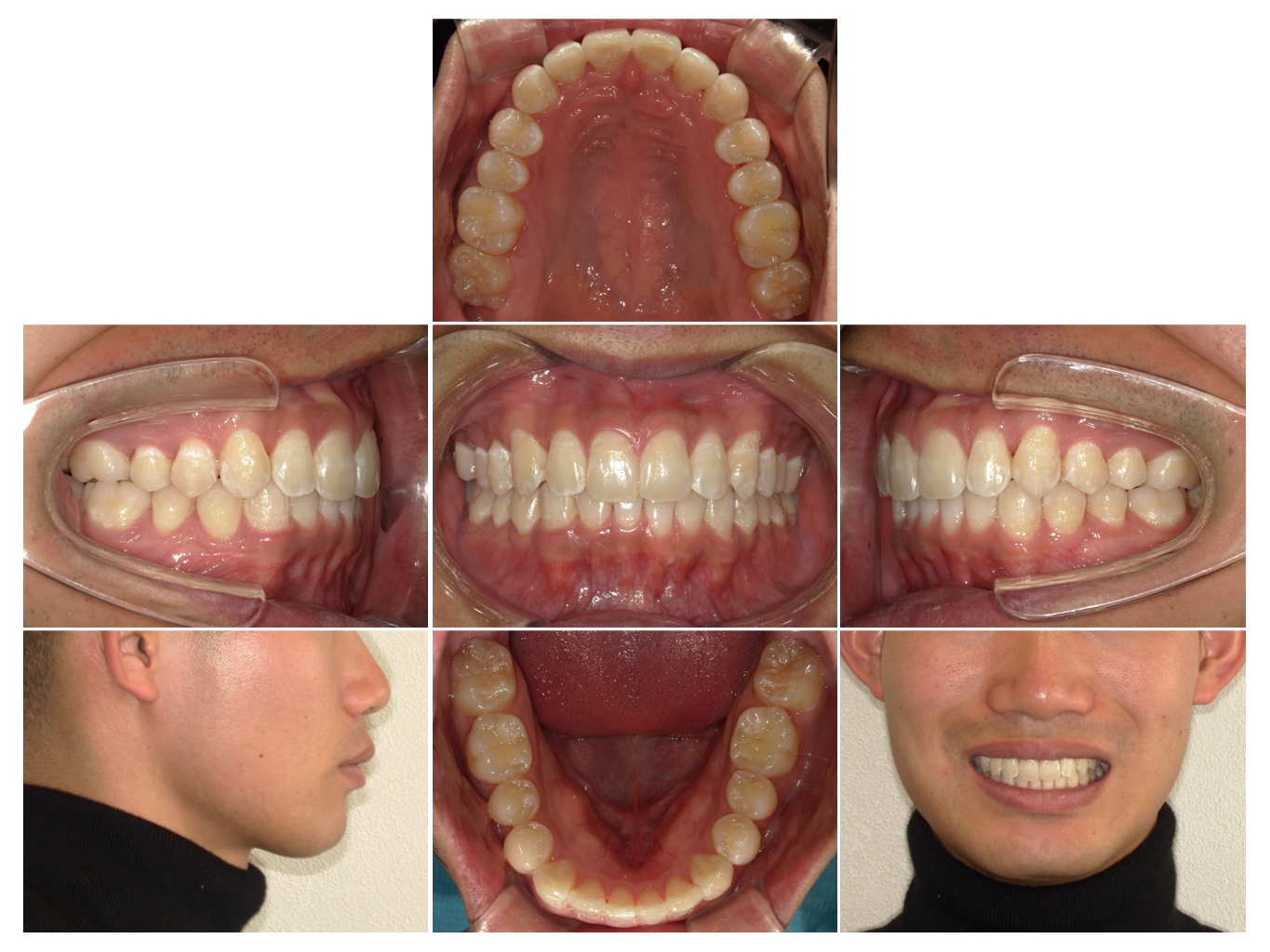
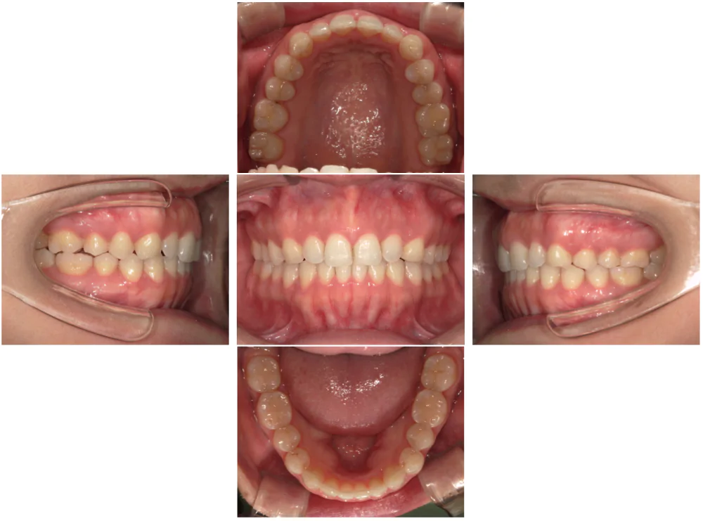
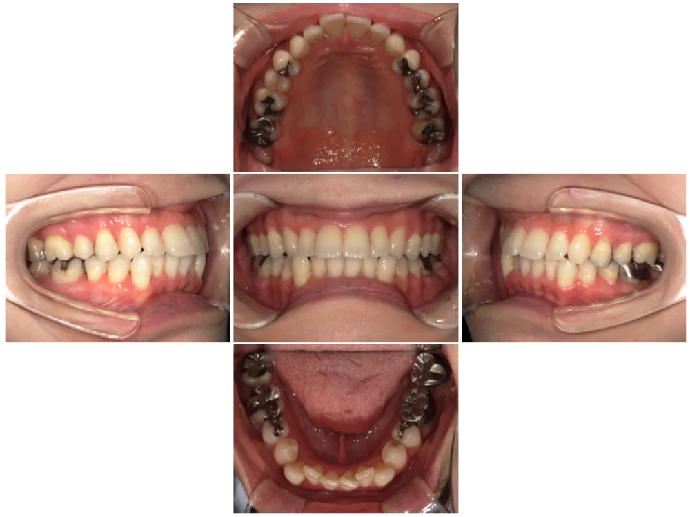
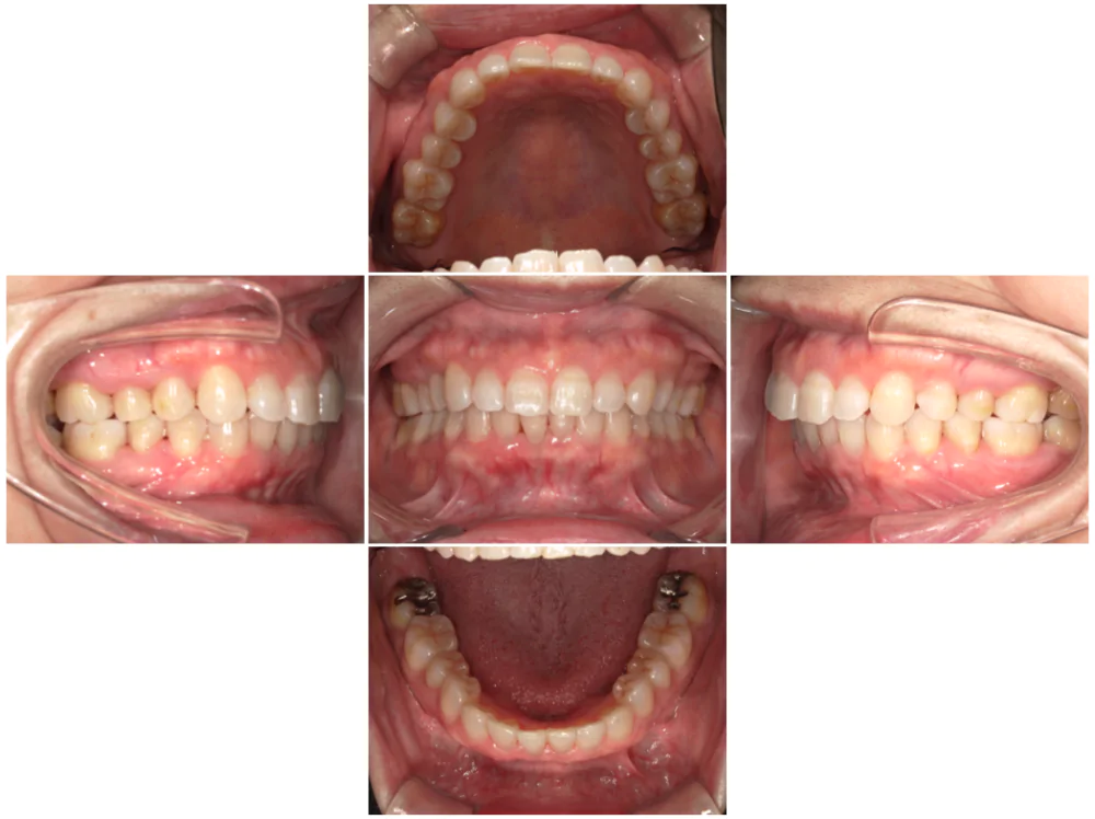
症例1
※画像をクリックすると拡大します。
| Before | After |
|---|---|
![]() |
![]() |
| 項目 | 詳細 |
|---|---|
| 来院時の主訴 |
全体的なガタガタを治したい。
できれば抜歯はしたくない。
歯並びを気にせず笑えるようになりたい。
|
| 医院での対応や適用装置 | マウスピース矯正装置を使用して主訴であるガタガタを改善しました。 ガタガタの改善に必要なスペースの確保のために上あごの親知らずのみ抜歯を行いました。 |
| 通院期間 | 1年1ヶ月 |
| 通院回数 | 7回(治療中) |
| 治療費用総額 | 725,000円(税込) |
| リスクと副作用 | 矯正治療による歯の移動に伴う痛み、歯根吸収、虫歯 |
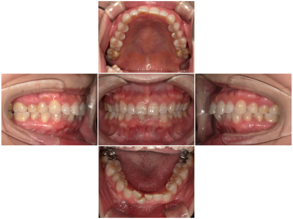
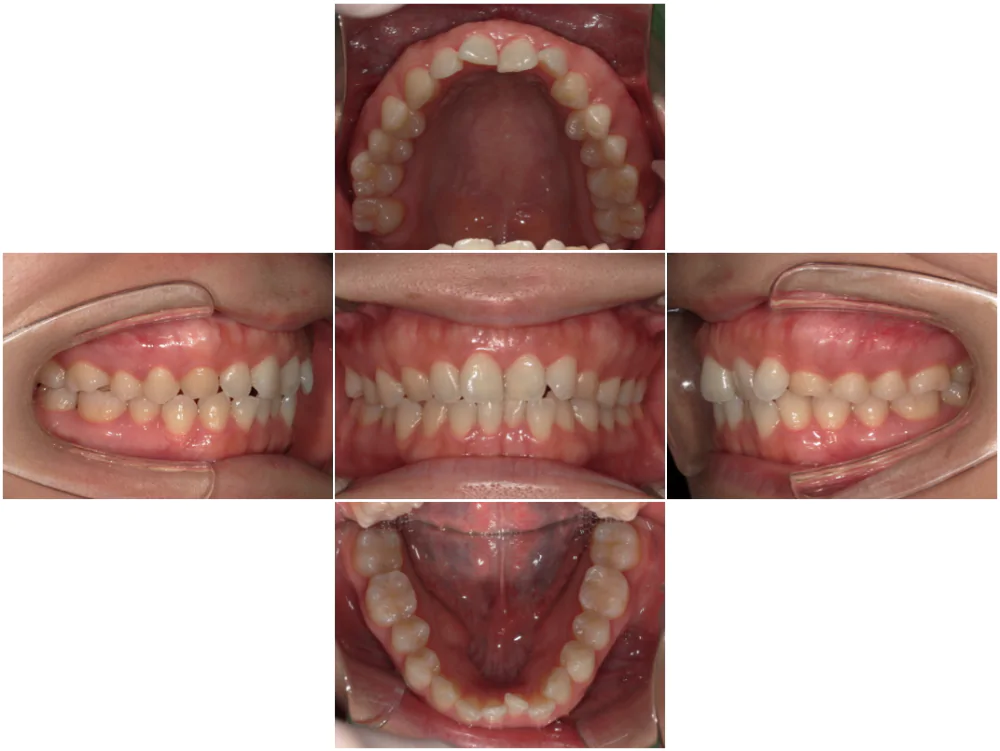
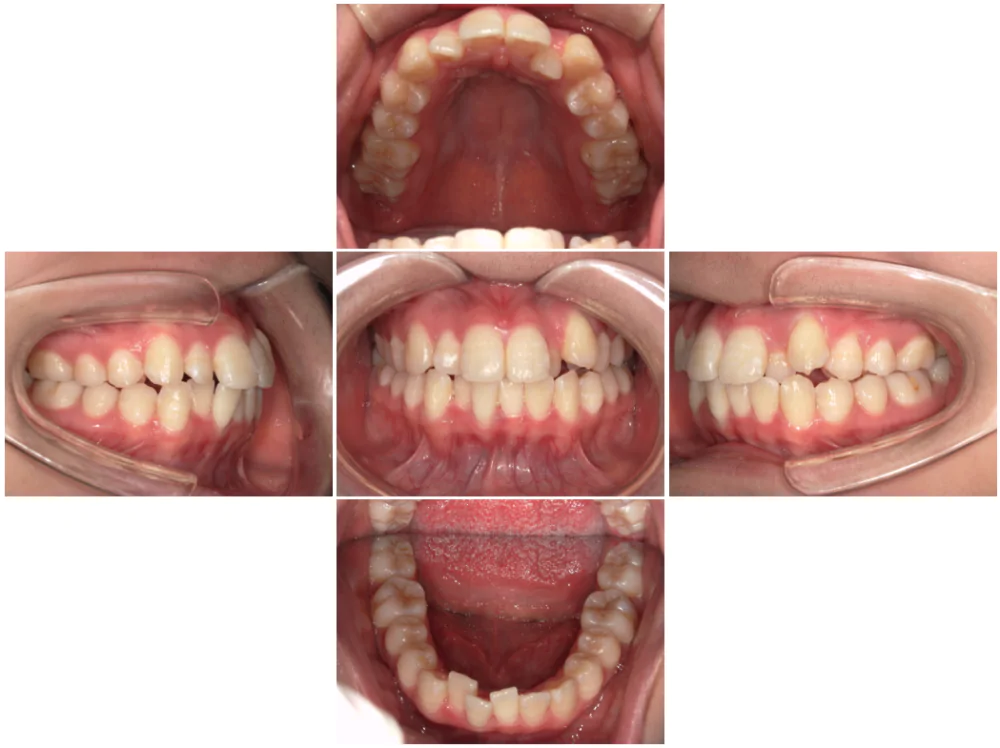
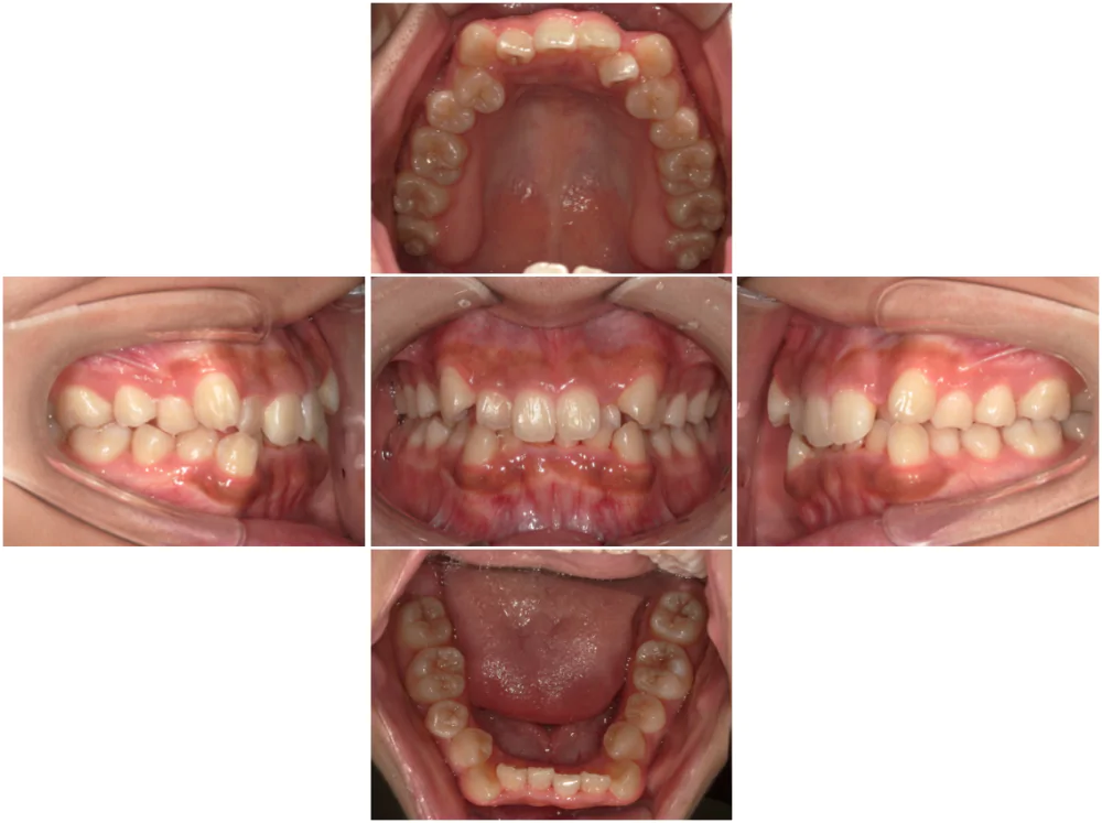
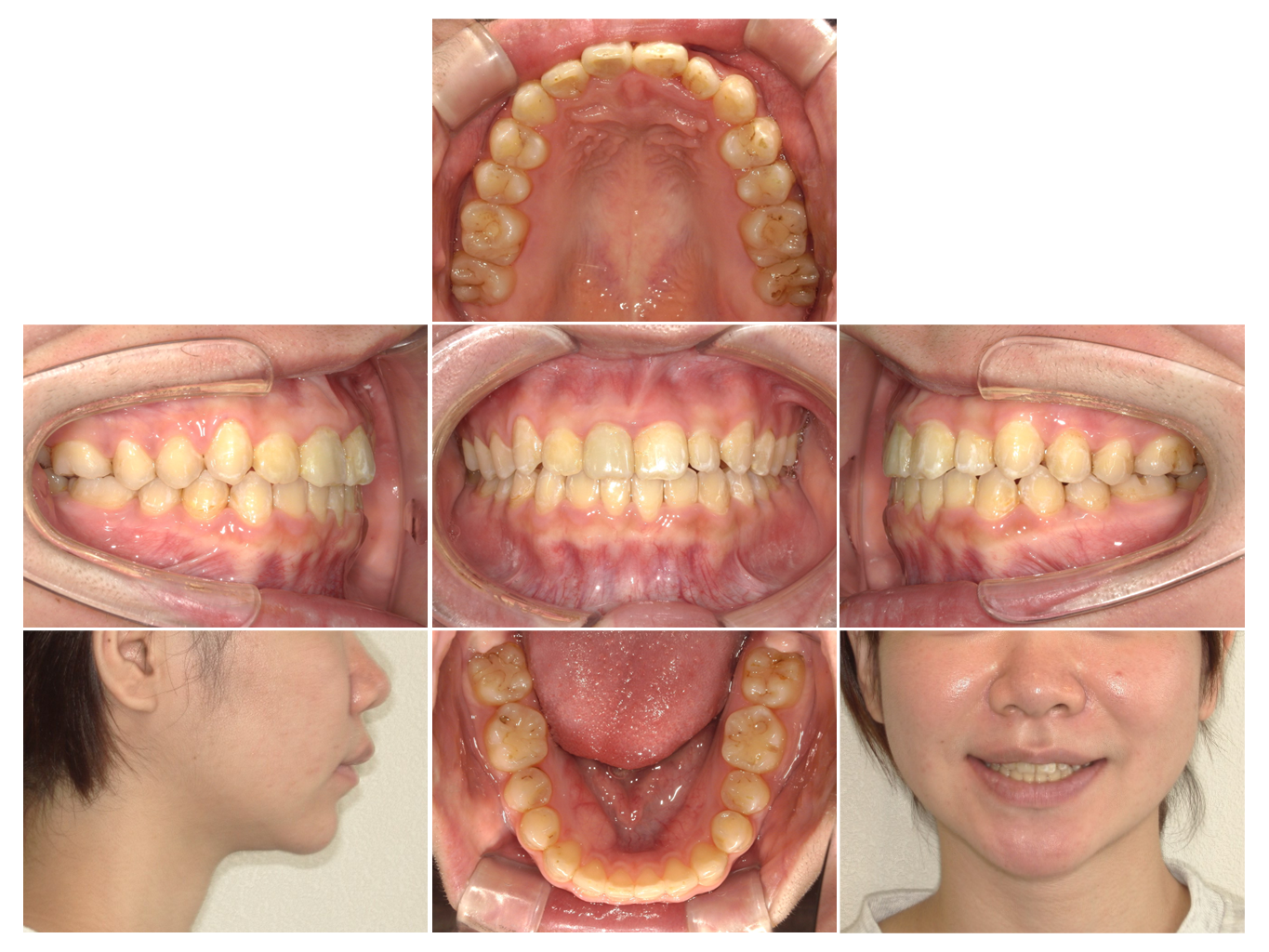
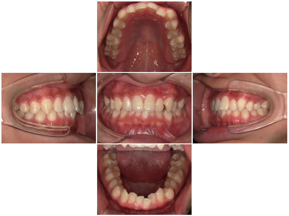
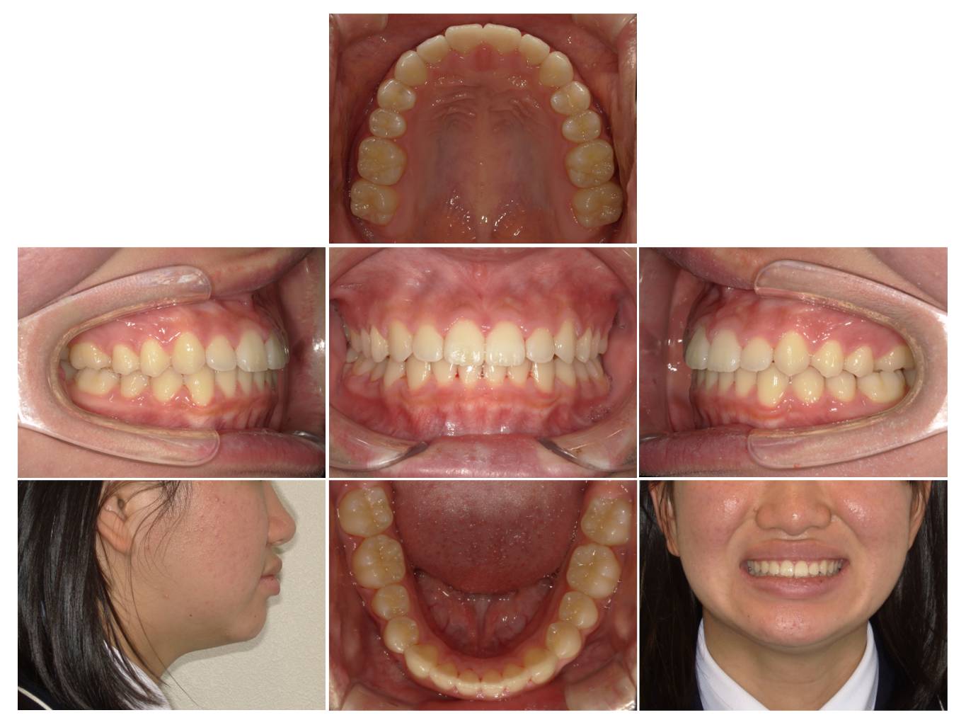
症例2
※画像をクリックすると拡大します。
| Before | After |
|---|---|
![]() |
![]() |
| 項目 | 詳細 |
|---|---|
| 来院時の主訴 | 前歯がガタガタ |
| 医院での対応や適用装置 | マウスピース矯正装置を使用して主訴である叢生の改善を行ないま |
| 通院期間 | 1年3ヶ月 |
| 通院回数 | 9回 |
| 治療費用総額 | 819,500円(税込) |
| リスクと副作用 | 矯正治療による歯の移動に伴う痛み、歯根吸収、虫歯 |
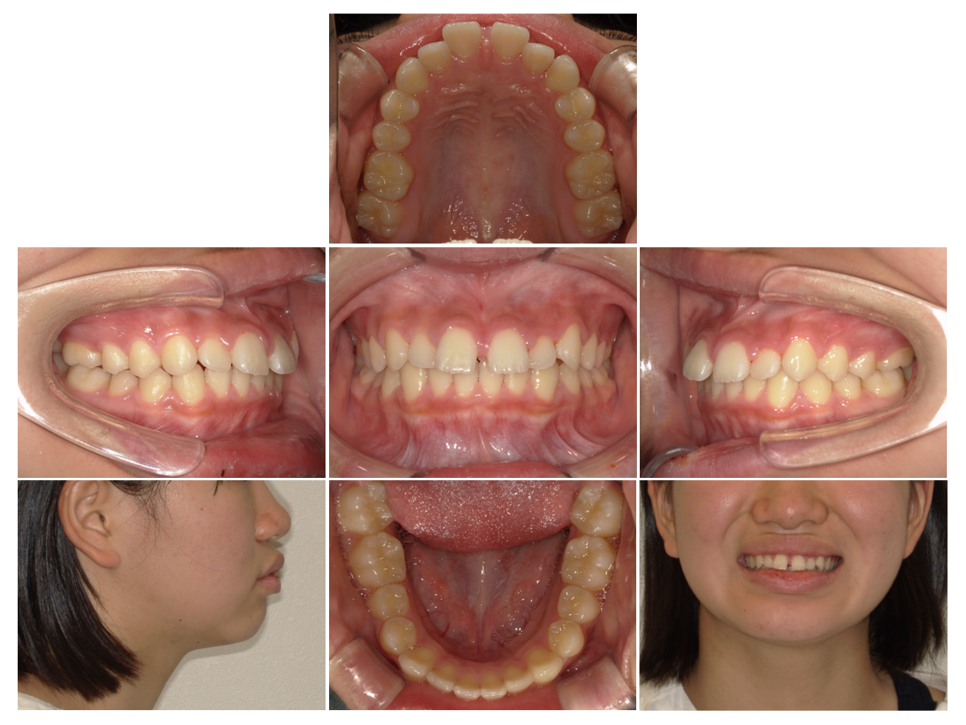
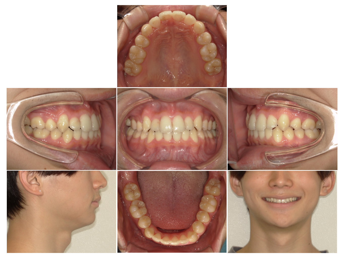
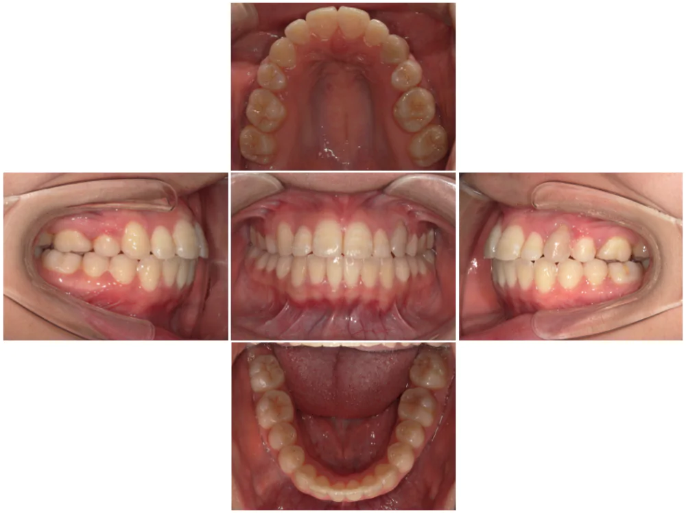
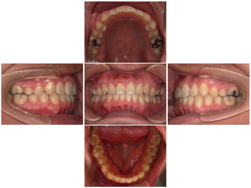
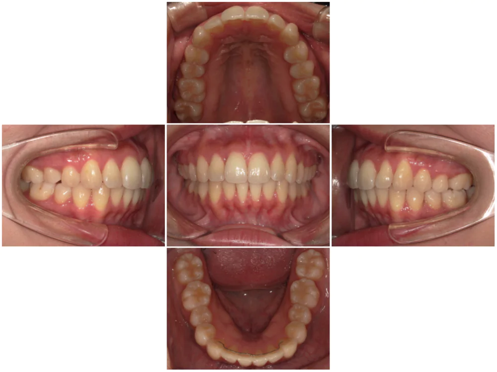
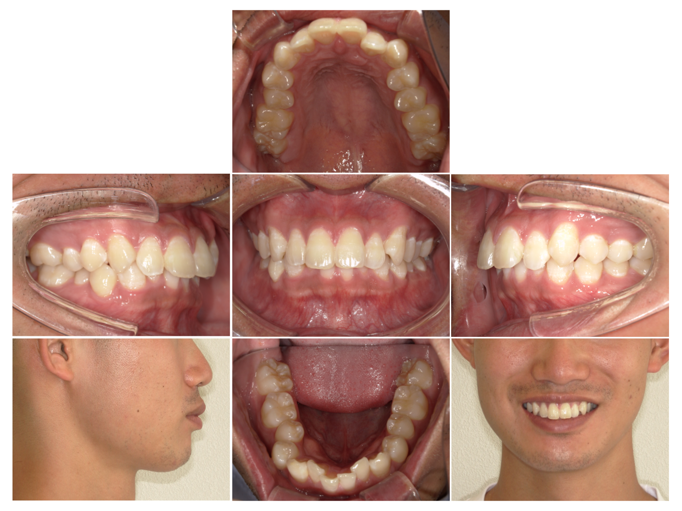
症例3
※画像をクリックすると拡大します。
| Before | After |
|---|---|
![]() |
![]() |
| 項目 | 詳細 |
|---|---|
| 来院時の主訴 | 歯の間の隙間を閉じたい |
| 医院での対応や適用装置 | マウスピース矯正装置を使用して主訴である歯の間の隙間を閉じて改善を行いました。 歯の隙間の原因は飲み込み時に舌を前に出してしまう癖だと考えられましたので、 トレーニングを行い癖も無くなりました。 |
| 通院期間 | 6ヶ月 |
| 通院回数 | 5回 |
| 治療費用総額 | 577,500円(税込) |
| リスクと副作用 | 矯正治療による歯の移動に伴う痛み、歯根吸収、虫歯 |
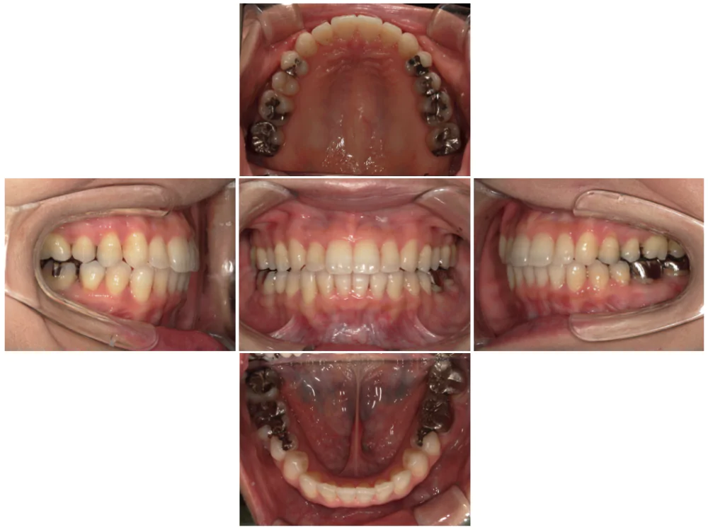
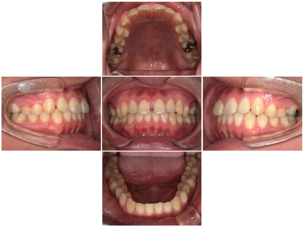
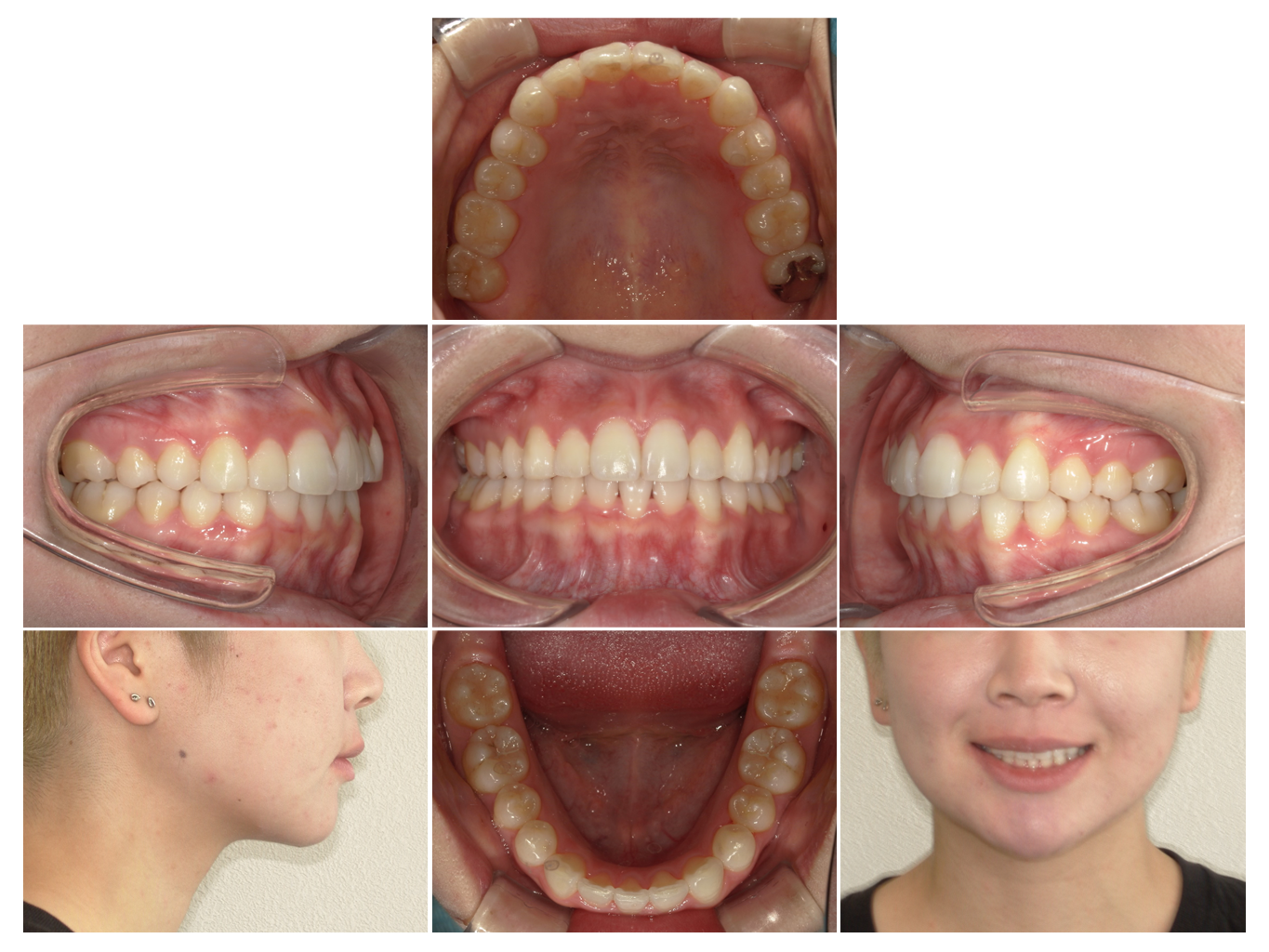
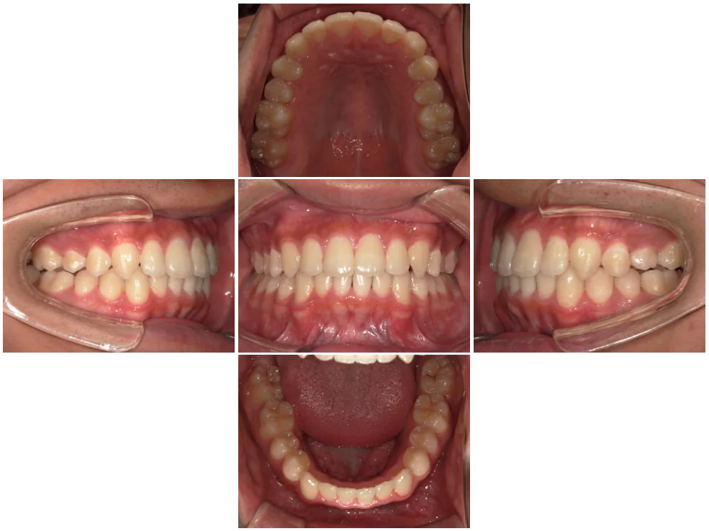
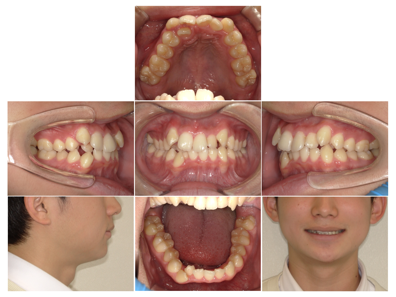
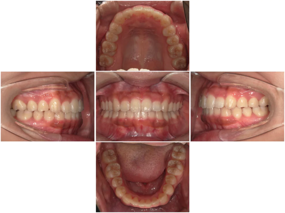
症例4
※画像をクリックすると拡大します。
| Before | After |
|---|---|
![]() |
![]() |
| 項目 | 詳細 |
|---|---|
| 来院時の主訴 | 全体的なガタガタ |
| 医院での対応や適用装置 | マウスピース矯正装置を使用して主訴である |
| 通院期間 | 11ヶ月 |
| 通院回数 | 5回 |
| 治療費用総額 | 852,500円(税込) |
| リスクと副作用 | 矯正治療による歯の移動に伴う痛み、歯根吸収、虫歯 |
症例5
※画像をクリックすると拡大します。
| Before | After |
|---|---|
![]() |
![]() |
| 項目 | 詳細 |
|---|---|
| 来院時の主訴 | 全体的なガタガタ |
| 医院での対応や適用装置 | 上顎の小臼歯抜歯、ワイヤー矯正にて主訴で |
| 通院期間 | 1年2ヶ月 |
| 通院回数 | 14回 |
| 治療費用総額 | 720,500円(学生割引適応) |
| リスクと副作用 | 矯正治療による歯の移動に伴う痛み、歯根吸収、虫歯 |
症例6
※画像をクリックすると拡大します。
| Before | After |
|---|---|
![]() |
![]() |
| 項目 | 詳細 |
|---|---|
| 来院時の主訴 | 下の歯のガタガタを治したい。 |
| 医院での対応や適用装置 | 上顎の歯並び、 上下全体での治療と下顎のみ |
| 通院期間 | 3ヶ月 |
| 通院回数 | 3回 |
| 治療費用総額 | 401,500円(税込) |
| リスクと副作用 | 矯正治療による歯の移動に伴う痛み、歯根吸収、虫歯 |
症例7
※画像をクリックすると拡大します。
| Before | After |
|---|---|
![]() |
![]() |
| 項目 | 詳細 |
|---|---|
| 来院時の主訴 | 全体的なガタガタ |
| 医院での対応や適用装置 | マウスピース矯正装置を使用して主訴である |
| 通院期間 | 8ヶ月 |
| 通院回数 | 6回 |
| 治療費用総額 | 726,000円(税込) |
| リスクと副作用 | 矯正治療による歯の移動に伴う痛み、歯根吸収、虫歯 |
症例8
※画像をクリックすると拡大します。
| Before | After |
|---|---|
![]() |
![]() |
| 項目 | 詳細 |
|---|---|
| 来院時の主訴 | 前歯の隙間が開いているのを治したい。 |
| 医院での対応や適用装置 | 主訴は上顎のみでしたが、 上下の前歯が当たっており上顎のみの治療では改善が難しかったため 上下顎にマウスピース矯 |
| 通院期間 | 4ヶ月 |
| 通院回数 | 3回 |
| 治療費用総額 | 566,500円(税込) |
| リスクと副作用 | 矯正治療による歯の移動に伴う痛み、歯根吸収、虫歯 |
症例9
※画像をクリックすると拡大します。
| Before | After |
|---|---|
![]() |
![]() |
| 項目 | 詳細 |
|---|---|
| 来院時の主訴 | 下のガタガタを治したい |
| 医院での対応や適用装置 | 主訴としては下顎のみの治療でしたが、 見た目だけの改善ではなく歯の寿命を伸ばすためにも上下全体での |
| 通院期間 | 4ヶ月 |
| 通院回数 | 3回 |
| 治療費用総額 | 566,500円(税込) |
| リスクと副作用 | 矯正治療による歯の移動に伴う痛み、歯根吸収、虫歯 |





















