
インビザラインについて
マウスピース型カスタムメイド装置インビザラインは、薄く透明なプラスチックでできているマウスピースを装着し、少しずつ歯を動かす矯正治療法です。1日20時間以上装着し、約2週間ごとに新しいマウスピースに交換します。使用するマウスピースの枚数は、症例によって異なります。通院頻度は1~3ヶ月に1回程度で、マウスピースと歯の適合性や口腔内の状態をチェックし、数回分のマウスピースをお渡しします。
当院では、3D口腔内スキャナー「iTero」で歯の形状や歯並びを撮影し、コンピューターに画像データを取り込んで3Dの歯型モデルを作製します。そして、データに基づいて矯正治療をシミュレーションしたうえで治療計画を立案し、それをもとにマウスピースを作製します。iTeroを使用することで、歯の形状を精密に計測できるため、より精度の高いインビザライン矯正を実現できます。


インビザラインの特徴
目立ちにくい

従来の矯正治療で使用するブラケットとワイヤーは金属色のため、口を開けたり笑ったりしたときにどうしても目立ちます。最近は白や透明のブラケットとワイヤーを使用できるため、従来よりは目立ちにくくなりました。それでも、近くで見れば一目で矯正装置だとわかってしまいます。
インビザラインのマウスピースは透明で薄いうえに、歯に取り付けるアタッチメントという突起物も歯と同じ色をしているので、よほど近くで見ないとマウスピースだとは気づかれません。
取り外し可能

インビザラインのマウスピースは、歯磨きや食事のときに取り外せます。また、スピーチや面接など、短時間かつ重要なタイミングにも外しておくことができます。矯正装置を装着した状態では、歯ブラシがすみずみまで届きにくいので、むし歯や歯周病のリスクが高まります。自由に取り外せるインビザラインであれば、これまで通りに歯磨きをしてむし歯や歯周病を予防できるでしょう。
また、食事のときに取り外せば、食べ物が詰まったりマウスピースが汚れたりすることもありません。このように、口腔内を衛生的に保つことができます。
痛みが少ない

装着中の違和感が少ない

金属アレルギーの心配がない

ホワイトニングも同時に行える

通院回数が少ない

ワイヤー矯正は、月1回程度の通院が必要です。インビザラインは、患者さまが問題なく使用されていれば、数枚のマウスピースを一度にお渡しできます。そのため、1~3ヶ月に1回程度と、比較的少ない回数の通院で矯正治療を受けていただけます。
通院時に行うことは、マウスピースの適合状態やアタッチメントの状態などの確認です。
口内炎ができにくい

3D口腔内スキャナーiTero(アイテロ)
当院では、3D口腔内スキャナーの「iTero」を使用し、スピーディーかつ高精度な型取りをしております。従来の粘土のようなシリコン印象材を噛む必要はありません。2~3分程度で正確に型取りができます。
また、印象材を噛むことによる嘔吐反射もないので、型取りの負担を大きく軽減できます。取得したデータがモニターにその場で映し出され、現在の歯並びや噛み合わせの状態をご自身でご確認いただける点も大きなメリットです。
データに基づいて治療前と治療の途中、治療後の状態をシミュレーションできるうえに、スマートフォンで上下左右、360°の角度でご覧いただけます。そのため、矯正治療を受けるかどうか判断いただきやすくなります。また、スキャンしたデータはインターネットを通じてアメリカのアライン・テクノロジー社へ送られてマウスピースが作製されます。従来の型取りはアメリカに空輸する必要があったので、マウスピースが歯科医院へ届くまでに10~14日ほど余計にかかっていました。
型取りにiTeroを使用することで、患者様の負担を減らすとともに、治療が始められるまでの期間を大幅に短縮しています。
クリンチェック
クリンチェックは、歯の動き方をシミュレーションするソフトです。表側矯正や裏側矯正では、歯が動く予想を可視化できませんでした。インビザラインの場合は、iTeroでスキャンしたデータをクリンチェックに取り込むことで、治療経過や治療後の状態をシミュレーションできます。そのため、矯正治療を受けるべきかどうかを的確に判断でき、治療のモチベーションアップにも繋がります。また、あらゆる角度からシミュレーションできるので、細かい要望を反映しながら理想的な矯正治療を目指すことが可能です。
治療期間を短期間にする「加速矯正装置」
矯正治療に興味はあっても、「治療に長い時間がかかるのでは」と不安に感じる方は少なくありません。全体矯正では、歯を少しずつ動かすため、通常2〜3年ほどの治療期間がかかります。
当院では、オルソパルスやPBMといった加速装置を用いることで、歯の移動を効率よく進め、治療期間を短くすることが可能です。これらの装置は、歯の動きを促すだけでなく、矯正中の痛みや違和感を和らげる効果も期待できます。できるだけ早く矯正治療を終えたい方も、安心してご相談ください。
インビザライン(マウスピース矯正)治療の流れ
STEP 01.初回相談とカウンセリング
患者さまの歯並びや噛み合わせについてのお悩みや、日常生活で感じている不便な点を丁寧にお伺いします。どのような見た目にしたいか、どんなことが気になるかなど、患者さま自身の希望や不安を率直にお聞きすることが、治療を始めるうえでの第一歩です。
カウンセリングでは、インビザライン治療の特徴やおおまかな流れについてもご説明します。その場でご質問や疑問にお答えし、まずは治療について理解を深めていただくことが目的です。
無理に治療を勧めることはありませんので、安心してご相談ください。
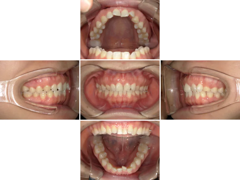
口腔内写真の撮影
カウンセリングの一環として、口腔内写真を撮影します。歯並びや噛み合わせの現状を視覚的に確認しながら、問題点や治療の方向性について分かりやすくご説明します。口腔内スキャナーによる簡易シミュレーション
口腔内スキャナー(iTero)を使用し、お口の中の状態を3Dデータとして確認します。治療後の歯並びの変化を簡易的にシミュレーションし、インビザライン治療のイメージを具体的にしていきます。STEP 02.精密検査
次にレントゲン撮影などの精密検査を行います。
歯並びだけでなく、噛み合わせや顎の骨格、歯の傾きまでを正確に把握し、安全で無理のない矯正治療を行うための基礎データを取得します。
STEP 03.治療計画のご説明
精密検査の結果をもとに、治療計画をご説明します。
歯がどのような順序で動いていくのか、治療期間や使用するマウスピースの枚数、必要に応じた処置についても具体的にお伝えします。
治療内容を十分にご理解・ご納得いただいたうえで、治療を開始します。
STEP 04.インビザライン治療の開始
確定した治療計画に基づき、患者さま専用に作製されたマウスピースを装着し、治療を開始します。
歯の動きをコントロールするため、必要に応じて歯の表面にアタッチメントを装着します。
マウスピースは一定期間ごとに交換しながら、少しずつ歯を移動させていきます。
STEP 05.治療中の管理と調整
治療期間中は定期的にご来院いただき、歯の動きや噛み合わせの状態を確認します。
必要に応じて調整を行い、治療が計画通りに進むよう管理します。
STEP 06.治療完了と保定期間
歯並びと噛み合わせが整ったら治療は完了です。
治療後は保定装置を使用し、歯並びの安定を図ります。



